Της Θεοδοσία Φλώρου Γαστρεντερολόγος, Επιμελήτρια Α’ Γαστρεντερολογικής Κλινικής ΙΑΣΩ Θεσσαλίας
Τί είναι η ΓΟΠΝ; Πόσο συχνή είναι;
- Ως ΓΟΠΝ ορίζεται η παλινδρόμηση γαστρικού περιεχομένου στον οισοφάγο, η οποία προκαλεί συμπτώματα ή και επιπλοκές.
- Συμπτώματα τουλάχιστον 2 φορές την εβδομάδα.
- Αποτελεί ένα συχνό νόσημα του πεπτικού. Ο επιπολασμός ποικίλει ανάλογα με τη γεωγραφική περιοχή. Στο Δυτικό Κόσμο κυμαίνεται μεταξύ 8 έως 28%, ενώ στην Ελλάδα, σύμφωνα με μία μεγάλη δημοσιευμένη μελέτη, διαπιστώθηκαν μηνιαία συμπτώματα παλινδρόμησης σε ποσοστό 52%.
Τί συμπτώματα έχει;
- Τα τυπικά συμπτώματα της ΓΟΠΝ είναι ο οπισθοστερνικός καύσος (καούρα, πύρωση) και οι αναγωγές (συνήθως όξινες). Ο ασθενής μπορεί να παραπονιέται και για αρκετά άτυπα συμπτώματα όπως θωρακικό άλγος, ναυτία/έμετο, ερυγές, λόξυγγα, αίσθημα κόμπου, δυσκολία ή πόνος κατά την κατάποση.
- Προσοχή. Το θωρακικό άλγος μπορεί να μιμείται καρδιακή πάθηση. Απαραίτητο να προηγείται εξέταση από καρδιολόγο.
Τα συμπτώματα αφορούν μόνο τον οισοφάγο;
- Ασφαλώς όχι! Έχει βρεθεί συσχέτιση της ΓΟΠΝ με το άσθμα , το χρόνιο βήχα, το βράγχος φωνής, τη λαρυγγίτιδα, τη φαρυγγίτιδα, τη δυσοσμία του στόματος, την τερηδόνα.
- Ωστόσο, απαιτείται προσοχή και πάντα εκτίμηση και από γαστρεντερολόγο, γιατί υπάρχει μια τάση υπερεκτίμησης και υπερδιάγνωσης της παλινδρόμησης.
Υπάρχει κίνδυνος εάν δεν πάρει κάποιος θεραπεία;
- Χωρίς τη σωστή θεραπεία και παρακολούθηση υπάρχει κίνδυνος εμφάνισης στένωσης στον οισοφάγο, οισοφάγου Barrett, δυσπλασίας ή και αδενοκαρκινώματος.
ΓΟΠΝ και άσθμα. Ποια η σχέση τους;
- ΓΟΠΝ και άσθμα συχνά συνυπάρχουν. Ευθύνεται όμως η ΓΟΠΝ για το άσθμα;
- Απαραίτητη προϋπόθεση η ύπαρξη συμπτωμάτων παλινδρόμησης και η αξιολόγηση τους από γαστρεντερολόγο (υπάρχουν αναγωγές; έξαρση του άσθματος μετά από ένα λιπαρό και μεγάλου όγκου γεύμα;).
Τί προκαλεί τη ΓΟΠΝ?
- Ο οργανισμός μας διαθέτει αμυντικούς μηχανισμούς έναντι της παλινδρόμησης. Αυτοί σχετίζονται με την ανατομία του σώματος (όπως τα σκέλη διαφράγματος κα) αλλά και με τη δυνατότητα κάθαρσης του οξέος του στομάχου (περίσταλση του οισοφάγου, παραγωγή σιέλου).
- Συχνοί αιτιολογικοί παράγοντες εμφάνισης ΓΟΠΝ είναι η διαφραγματοκήλη, η παχυσαρκία, η εγκυμοσύνη, νοσήματα όπως το σκληρόδερμα, χειρουργεία (όπως τα βαριατρικά), φάρμακα που ελαττώνουν τον τόνο του κατώτερου οισοφαγικού σφιγκτήρα (εισπνεόμενα, αντιυπερτασικά κα), η καθυστερημένη γαστρική κένωση, ορισμένα τρόφιμα, το κάπνισμα, το αλκοόλ, το ελικοβακτηρίδιο του πυλωρού (σύνθετη σχέση: μπορεί να δρα προστατευτικά), η επίκυψη, η κατάκλιση.
Πώς γίνεται η διάγνωση? Πρέπει πάντα να κάνω γαστροσκόπηση? Χρειάζεται βιοψία?
- Η διάγνωση βασίζεται στο ιστορικό και στην κλινική εικόνα του αρρώστου.
- Συχνά δεν απαιτείται γαστροσκόπηση για να τεθεί η διάγνωση.
- Γαστροσκόπηση χρειάζεται όταν υπάρχουν συμπτώματα συναγερμού (όπως ανορεξία, απώλεια βάρους, σιδηροπενική αναιμία, νέα συμπτώματα δυσπεψίας σε ηλικία άνω των 45 ετών, θετικό οικογενειακό ιστορικό κα), όταν υπάρχουν παράγοντες κινδύνου για οισοφάγο Barrett (όπως χρόνια ΓΟΠΝ> 5 έτη σε συνδυασμό με την ηλικία, το φύλο, την παχυσαρκία, το κάπνισμα του αρρώστου) και σε ασθενείς που τα συμπτώματα επιμένουν παρά την ενδεδειγμένη θεραπεία.
- Δε χρειάζεται βιοψία από τον οισοφάγο, εκτός εάν ο γιατρός σας υποπτεύεται άλλα νοσήματα όπως η ηωσινοφιλική οισοφαγίτιδα, υπάρχει υπόνοια οισοφάγου Barrett ή σε ύπαρξη ορατής βλάβης.
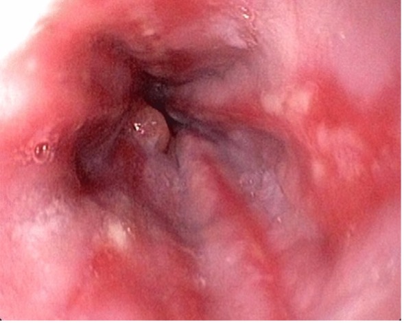
Πως γίνεται η γαστροσκόπηση?
- Στις μέρες μας η διαδικασία της γαστροσκόπησης είναι ολιγόλεπτη και ανώδυνη. Σε εξοπλισμένους χώρους, με εξειδικευμένο προσωπικό, σύγχρονα ενδοσκόπια και με τη χρήση μέθης.
- Στην πλειοψηφία των αρρώστων με ΓΟΠΝ η γαστροσκόπηση είναι φυσιολογική. Περίπου το 35% παρουσιάζει αλλοιώσεις οισοφαγίτιδας (ταξινόμηση της βαρύτητας κατά Los Angeles ) και το 5 – 10% οισοφάγο Barrett.


Υπάρχουν απλά μέτρα που μπορεί να βοηθήσουν στην πρόληψη και στην αντιμετώπιση των συμπτωμάτων της ΓΟΠΝ?
- Η ΓΟΠΝ είναι μια χρόνια υποτροπιάζουσα νόσος. Ο γαστρεντερολόγος, μετά από ένα λεπτομερές και αναλυτικό ιστορικό, οφείλει να συζητήσει και να συμβουλεύσει τον άρρωστο, σχετικά με την εφαρμογή απλών και καθημερινών μέτρων τροποποίησης του τρόπου ζωής του, ορισμένων συνηθειών του, καθώς και της διατροφής του. Ακολουθεί ένα συνοπτικό αρχείο με σχετικές οδηγίες.
Τί φαρμακευτική θεραπεία πρέπει να πάρει ο ασθενής; Για πόσο διάστημα;
- Σήμερα υπάρχουν στη διάθεσή μας πολλά συνταγογραφούμενα και μη φάρμακα όπως αναστολείς αντλίας πρωτονίων (PPI), αντιόξινα, αλγινικά, προκινητικά, ανταγωνιστές Η2 υποδοχέων ισταμίνης, μυοχαλαρωτικά.
- Η ΓΟΠΝ είναι μία χρόνια νόσος που συχνά υποτροπιάζει. Η ανάγκη για θεραπεία μπορεί να είναι μακροχρόνια και καθημερινή, διαλείπουσα ή κατ’ επίκληση, και σαφώς εξατομικευμένη. Επιλέγεται το σωστό φάρμακο και στη χαμηλότερη δόση προκειμένου να επιτυγχάνεται ο στόχος της θεραπείας. Οι παρενέργειες των φαρμάκων αυτών, ακόμα και σε μακροχρόνια βάση, είναι περιορισμένες.
- Ο στόχος της θεραπείας είναι πολλαπλός: Πλήρης ύφεση των συμπτωμάτων, επούλωση της οισοφαγίτιδας, αποφυγή εμφάνισης των επιπλοκών της και κυρίως μια φυσιολογική ζωή για τον ασθενή.
ΘΥΜΗΘΕΙΤΕ!
Η παλινδρόμηση είναι συχνό πρόβλημα.
Η θεραπεία είναι αποτελεσματική και σας απαλλάσσει από τα συμπτώματα.
Μη διστάσετε να απευθυνθείτε στον ειδικό.
ΟΔΗΓΙΕΣ ΓΙΑ ΤΗ ΓΑΣΤΡΟΟΙΣΟΦΑΓΙΚΗ ΠΑΛΙΝΔΡΟΜΙΚΗ ΝΟΣΟ.docx
ΚΑΘΗΜΕΡΙΝΑ ΜΕΤΡΑ ΓΙΑ ΤΗΝ ΑΠΟΦΥΓΗ Η’ ΤΗ ΜΕΙΩΣΗ ΤΩΝ ΣΥΜΠΤΩΜΑΤΩΝ ΤΗΣ ΓΑΣΤΡΟΟΙΣΟΦΑΓΙΚΗΣ ΠΑΛΙΝΔΡΟΜΙΚΗΣ ΝΟΣΟΥ
- Προτιμάτε μικρά και συχνά γεύματα.
- Αποφύγετε τρόφιμα που ευνοούν την παλινδρόμηση όπως λιπαρά, πικάντικα, τηγανητά, όξινα (εσπεριδοειδή, κοκκινιστά), πίτες με φύλλο ή σφολιάτα, σοκολάτα, μέντα, κρεμμύδι, σκόρδο, αλκοόλ, καφέ, ανθρακούχα.
- Αποφύγετε την κατάκλιση για τουλάχιστον 2 ώρες μετά το φαγητό.
- Ανύψωση κεφαλής κρεβατιού κατά 15 – 20 εκ (μία τάβλα από κάτω). Η τοποθέτηση περισσότερων μαξιλαριών δε βοηθά.
- Προτιμάτε κατάκλιση σε αριστερή πλάγια θέση.
- Απώλεια βάρους (αφορά ασθενείς παχύσαρκους, υπέρβαρους ή με πρόσφατη αύξηση του σωματικού τους βάρους)
- Περιορισμό του καπνίσματος.
- Αποφύγετε στενά και ψηλόμεσα ρούχα.
- Τσίχλες/παστίλιες βοηθούν (αυξάνουν την παραγωγή σιέλου).
Ακολουθήστε το στο Google News και μάθετε πρώτοι όλες τις ειδήσεις.























